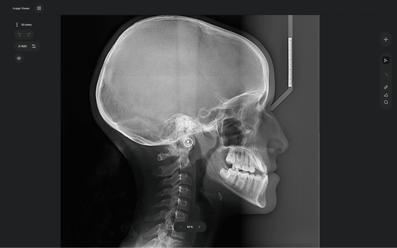
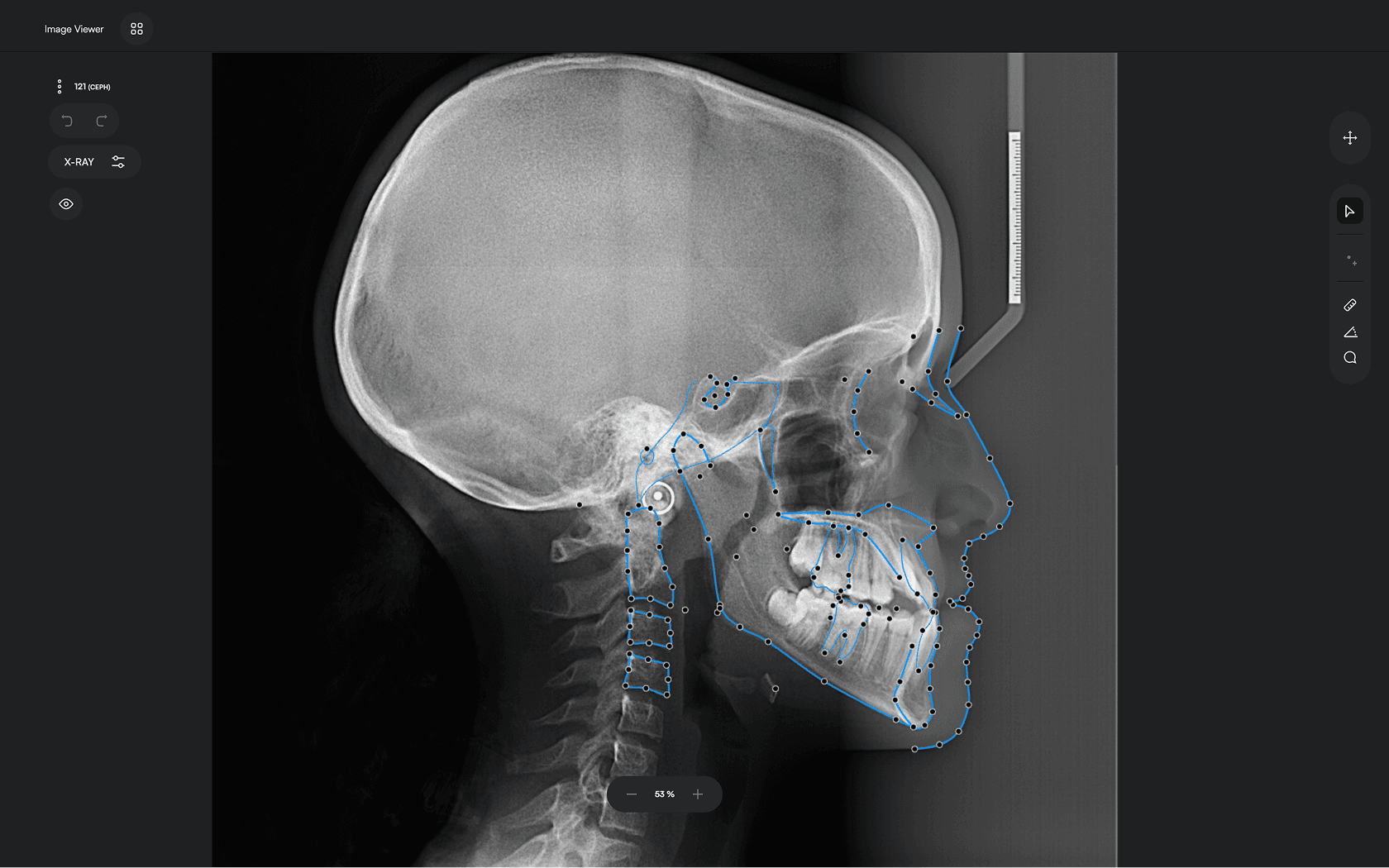
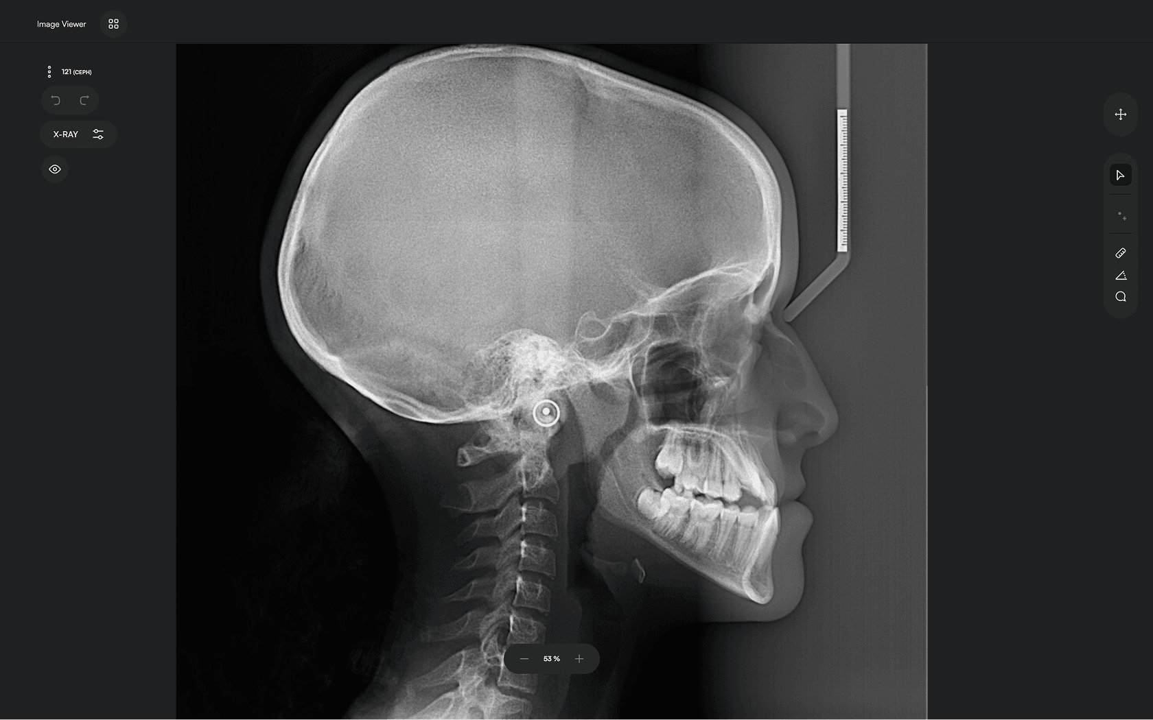
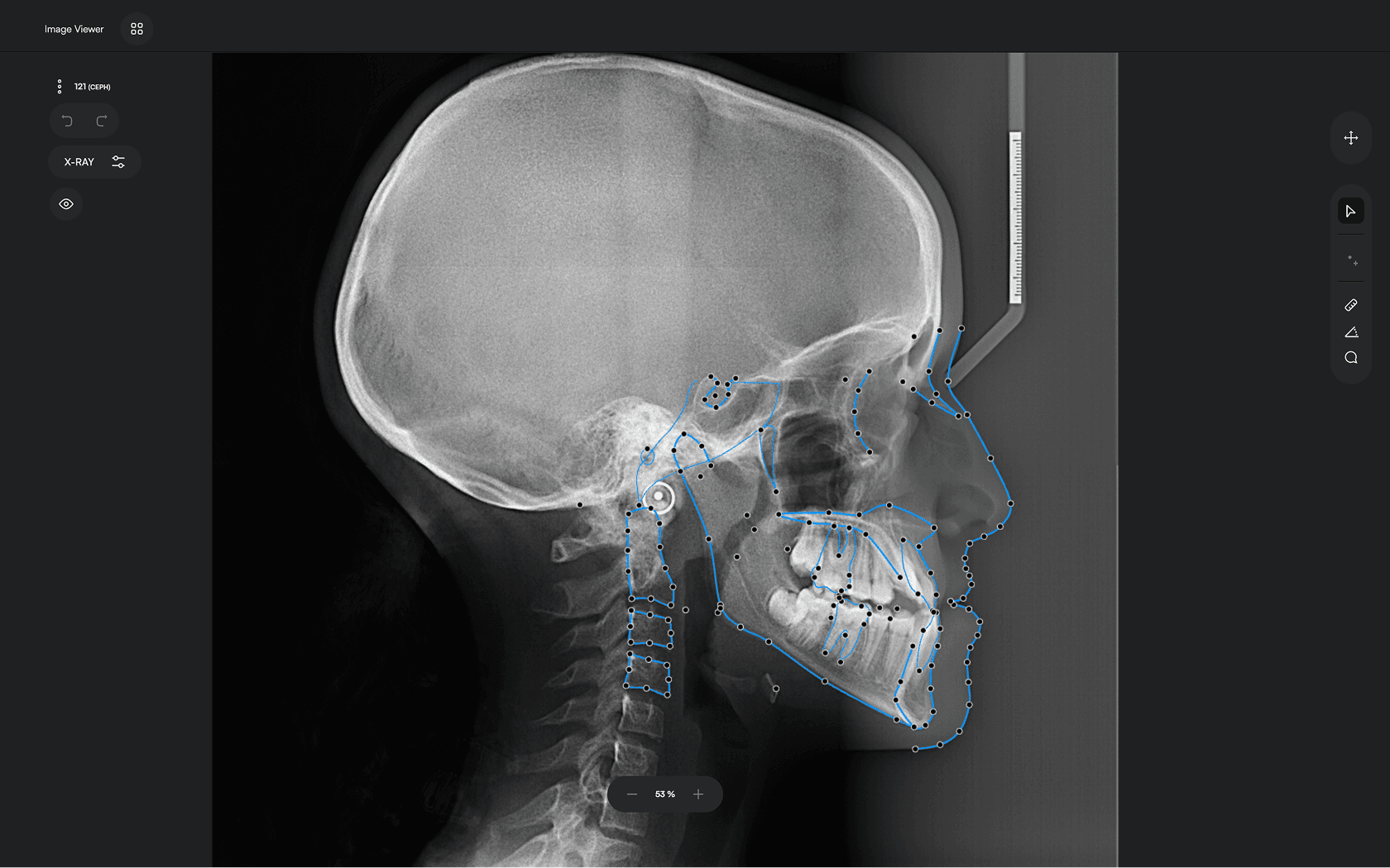
AI-driven Automated Lateral
Cephalometric Tracing
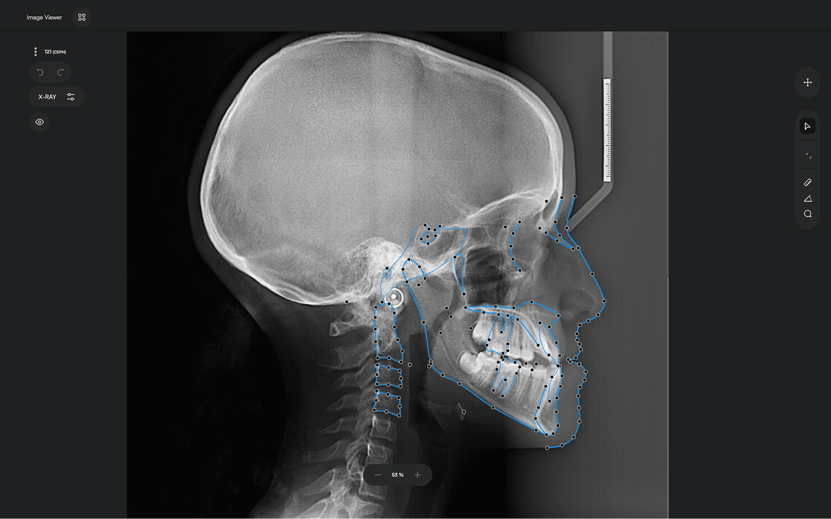
150+ landmarks traced in seconds
Automated analyses
Download detailed reports



Accurate. Fast. Effortless.
Unparalleled Speed
Identify 150+ orthodontic landmarks in under 10 seconds — a task that
traditionally may take more than 30 minutes.


Diverse Analysis
Access automated studies like Steiner and Jefferson to assist in clinical assessment and enhance case evaluations.
Powerful Insights
Experience a comprehensive assessment of skeletal, dental, and soft tissue discrepancies.
Clear Reporting
Create concise, clear reports to build confidence, enhance patient
communication and ensure transparency.

Why EAI Trace?
Cost-Effective. As low as A$ 0.21 per analysis, enjoy affordability without compromising on quality.
Risk-Managed. Fulfill compliance requirements and protect your practice from potential risks.
Accurate and Consistent. Our high-precision AI technology ensures identical outcomes every time. quality.
Clinically Proven. Backed by research papers demonstrating speed and accuracy
“Eyes of AI™ not only streamlines my workflow but also enhances diagnostic precision, making it an indispensable tool for orthodontic diagnosis and treatment planning."
Dr. Hatem Saifeldin
Associate Professor of Orthodontics, Consultant Orthodontist
3 Steps to Supercharging Your Practice
Sign Up
Create your account
1
Upload X-ray
Upload your lateral cephalometric X-rays
2
Run AI
Let the software handle tracing and reporting
3


Affordable and Scalable Pricing
Achieve precision and efficiency without breaking the bank.
As low as
per analysis
A$ 400 Onboarding Fee (one-time)
Limited Time Offer - Waived
1 month
A$ 150 / month
Billed monthly
6 month
A$ 127.5 / month
Billed semi-annually
12 month
A$ 105 / month
Billed annually
500 AI runs / month
Trace 150+ landmarks
Access 10 analyses
One-click reporting
In the Spotlight
Latest News

In the Press
November 7, 2025
Khoa Le on changing the future of gum disease detection with AI
Read article
In the Press
October 13, 2025
Bringing Teams Together
A new NSW CPD full-day seminar called Practi ce Consensus Day 2025 is designed to bring teams together in the pursuit of excellence.
Read article
In the Press
August 28, 2025
Eyes of AI driving $6.7m dental innovation project
Sydney-based medtech company Eyes of AI has won national backing to lead a $6.7 million project for AI-driven gum disease detection.
Read on pulseit.news
Out with the manual. In with simple, powerful, innovative solutions.